With our STAR Membership Plan, patients without dental insurance can still receive the care they need and desire. Offered exclusively at Seven Star Dental, the STAR Membership Plan lets you stay in control of your dental care and gives you peace of mind. The benefits of becoming a STAR Member include:
Invisalign®
before

after

before

after

Invisalign® & Veneers
before

after Invisalign

after Veneers

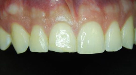
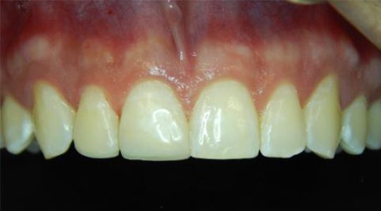
Cosmetic Bonding
before

after

before

after

before

after

before

after

before

after

Porcelain Veneers
before

after

before

after

before

after

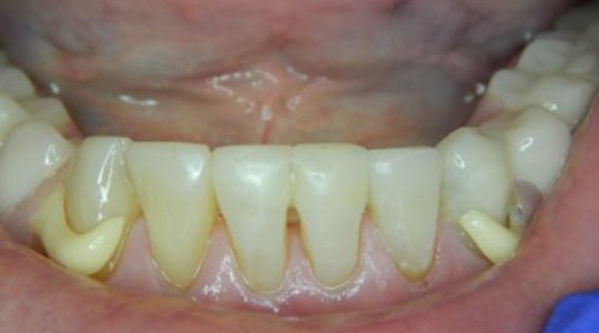
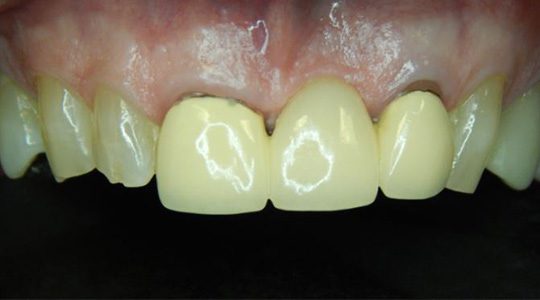
Bridge
before

after

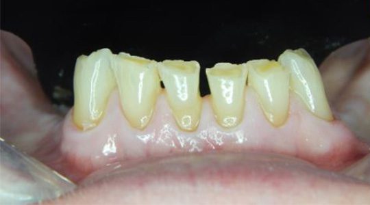
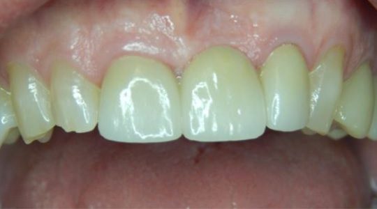
Anterior Crowns
before

after

Whitening & Porcelain Veneers
before


after


Zoom! Whitening
before

after

Zoom! Whitening, Dental Implant, and Ceramic Crowns
before

after

Invisalign and Crown
before

after


Nothing should stand in the way of your health!
*Patients interested in the STAR Membership Plan can enroll online after their first appointment at Seven Star Dental.
Learn more about our STAR Membership Plan and how you can start receiving the quality oral healthcare you deserve.
- Easy enrollment right in our office or online
- Convenient, low monthly payments
- Regular exams and cleanings at no additional cost
- Special savings on a variety of procedures and treatments
- Never any health questions, pre-approvals, or waiting periods
- Immediate access to your membership plan
- Automatic renewal every 12 months




